脂肪細胞圖像分析 Adipocytes image analysis 30007

貨號:

 

貨號
產品名稱
規格(
30007
脂肪細胞圖像分析
單張,或250張
  • 詳情
  • 參數
  • 實驗應用
  • 產品說明書
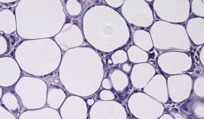
  •  脂肪細胞在能量和葡萄糖代謝中起著重要的作用,既作為能量儲存單位,又充當這些過程的內分泌調節器。作為脂肪細胞大小的主要調制器,脂肪細胞橫截面面積的測量已被廣泛用于代謝相關疾病,如肥胖,糖尿病和各種心血管疾病提供準確和可重復的表征。通過顯微鏡直接測量脂肪細胞的大小被廣泛使用,但這是個非常費時的過程。

    wimasis脂肪工具的目的是對蘇木精和伊紅(H&E)染色的組織切片進行定量的脂肪細胞的分析??梢钥焖俚墨@得圖像中的脂肪細胞的細胞個數和細胞橫截面面積。
     
    分析結果包括:
    總細胞計數:在圖像中檢測脂肪細胞總數。
    細胞面積:對每個檢測到的脂肪細胞面積列表
    脂肪細胞平均細胞面積
    脂肪細胞病病變平均面積的
     
  •  分析結果包括:

    總細胞計數:在圖像中檢測脂肪細胞總數。
    細胞面積:對每個檢測到的脂肪細胞面積列表
    脂肪細胞平均細胞面積
    脂肪細胞病病變平均面積的
     
  •  Theresa Schöttl, Lisa Kappler, Katharina Braun, Tobias Fromme, and Martin Klingenspor. Limited mitochondrial capacity of visceral versus subcutaneous white adipocytes in male C57BL/6N miceEndocrinology. December 2014

  •  產品簡介:

    NAMkZU2UAGWimAdipose_Product_Overview.pdf
    文件類型: .pdf eef6386c1e4a7e1fbc8ce8ff2398cf34.pdf (1.97 MB)

ICP備案號: 滬ICP備15057650號-1 滬公網安備31011202005471
雷萌生物科技(上海)有限公司 保留所有版權.

首頁   |   產品中心   |   產品應用   |   技術支持   |   新聞中心   |   關于我們   |   ibidi官網